Top.Mail.Ru
Москва
Пункт самовывоза: Якутск, Ул. Бабушкина, 9м, стр. 1
Зелёный свет
вашей клинике

Eighteeth HyperLight — высокочастотный портативный дентальный рентген

Eighteeth HyperLight — высокочастотный портативный дентальный рентген
Eighteeth HyperLight — высокочастотный портативный дентальный рентген
Описание

Преимущества

Удобный
  • Умная угловая система;
  • Чёткие изображения высокого разрешения благодаря фокальному пятну 0.4 мм;
  • Компактные размеры и малый вес позволяют работать одной рукой;
  • Интуитивно понятный пользовательский интерфейс.
Безопасный
  • Система блокировки для предотвращения непреднамеренного облучения;
  • Встроенный двойной свинцовый экран для защиты оператора от излучения;

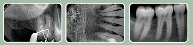
Клинические изображения



Чёткое изображение с высоким разрешением и фокальным пятном 0.4 мм



  • Размытые границы — детектор
  • Эффект размера фокального пятна
  • Спроектирован для создания точных изображений
БЕЗОПАСНОСТЬ ПРЕВЫШЕ ВСЕГО

ЭКРАН
Встроенный двойной экран для защиты оператора от облучения

БЛОКИРОВКА
Система блокировки для предотвращения случайного включения

Технические характеристики
Вес: 1.8 кг
Размер фокального пятна: 0.4 мм
Напряжение на трубке: 65 кВ
Ток: 2.5 мА
Ёмкость аккумулятора: 2500 мАч × 4 (10,000 мАч)
Напряжение сети: 100-240 В, 50/60 Гц
Диапазон времени экспозиции: 0.02-2 с
Характеристики
Производитель
Страна
Китай;
Гарантия, мес.
12;
Отзывы
Максимальное анодное напряжение: 65 кВ
Размер фокального пятна: 0.4 мм
Способ крепления: Портативный
Тип трубки: Высокочастотный


Нужна консультация?
Подробно расскажем о продукции и услугах, подберем оптимальный вариант и предложим лучшие цены!
В связи с резкими колебаниями курсов валют окончательные цены на интересующие позиции просим уточнять у менеджеров компании. x